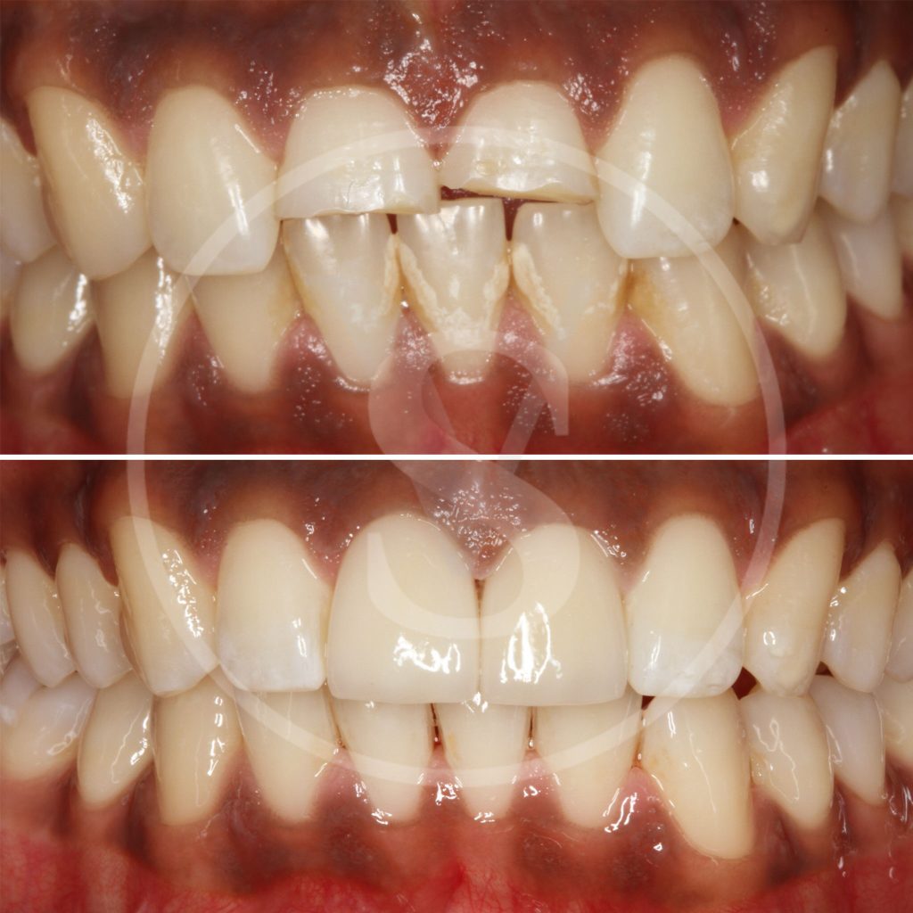
Restorative dental treatments like crowns and bridges can complete a smile. At VS Dental Care Centre, we can help restore teeth that have been left in disrepair following decay or teeth that have been damaged through trauma with crowns.
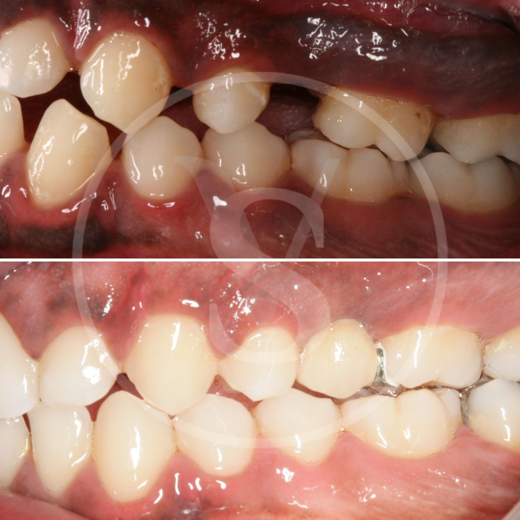
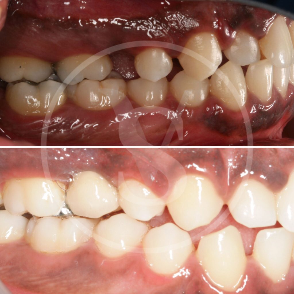
If you have lost a tooth, we can use bridges to replace the tooth so you aren’t left with a gap in your smile.
Crowns
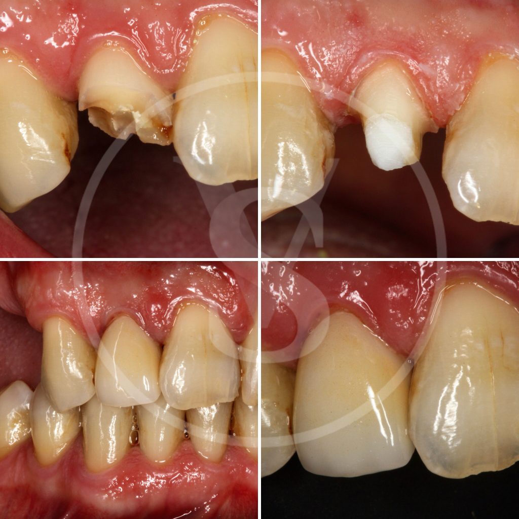
Crowns fit neatly over unsightly or broken teeth, providing complete coverage and restoring strength, shape and appearance. They offer an aesthetic restoration for broken, decayed or discoloured teeth, or those with large fillings.
Made from porcelain, ceramic or metal alloys, crowns are fitted to dental implants to replace missing teeth. In addition, the current evidence based research recommends protecting back teeth which have had root canal treatment with a crown. They are matched in size, shape and colour to sit comfortably alongside existing teeth.
Treatment steps
- A layer of enamel is removed from the tooth to accommodate the crown.
- Impressions of the prepared tooth are taken and the shade of the natural teeth is recorded so the crown can be made to fit and match perfectly.
- To protect the tooth between appointments, it will be covered with a temporary crown.
- When ready, this temporary crown is removed and the new permanent one is fixed in place with a strong dental cement.
![]()
![]()
Bridges
Dental bridges are an effective and natural-looking way to replace one or more missing teeth. They are usually made from a combination of porcelain and precious metals, and consist of two crowns, positioned either side of a false tooth, which slot over the teeth adjacent to a gap (the abutment teeth). As well as being fixed over natural teeth, they can also be supported by dental implants. In certain situations, a crown is not required on the adjacent teeth, but merely a thin metal wing which will be hidden out of sight.
The most obvious benefit of bridges is the way they restore an incomplete smile, but they can also improve eating, speaking, your ‘bite’ and the contours of your face, and they can help keep your existing teeth firmly in place.
Treatment steps
- The abutment teeth are prepared by removing a layer of enamel so the crowns/wing can be comfortably accommodated.
- Impressions are taken of the teeth so the bridge can be tailor-made to fit.
- After the bridge has been produced in a laboratory, it is fixed in position with dental cement.
If bridges are well looked after, and that includes keeping the surrounding teeth healthy so they can provide a solid foundation, they should last for years.
![]()












