
Cosmetic dentistry at VS Dental Care Centre
At VS Dental Care Centre, we have a range of cosmetic treatments that can improve your smile.
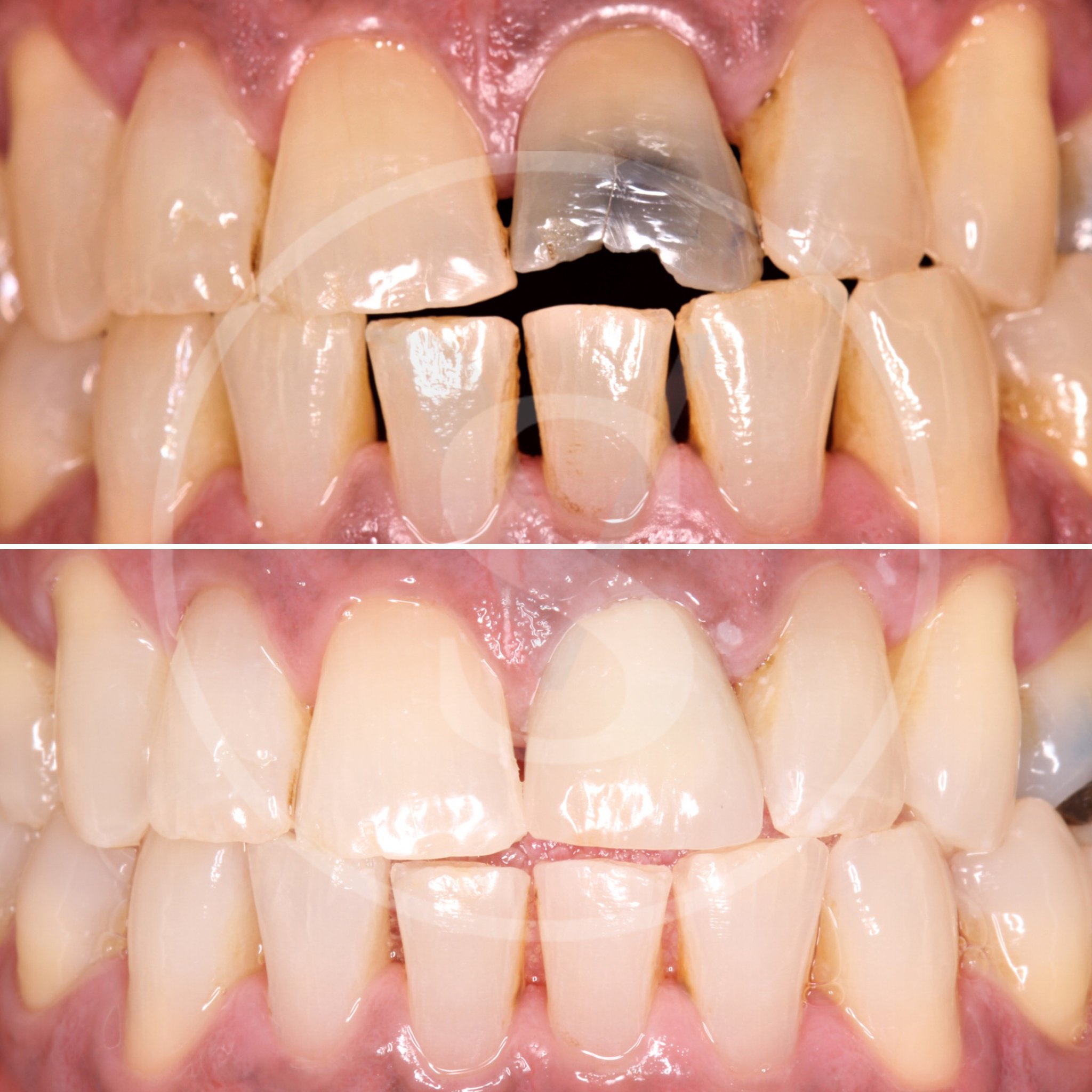
If certain teeth are affecting your smile, we can use veneers to conceal discolouration, irregular shapes and small gaps.
Veneers offer a minimally invasive way to transform a tooth as only a very thin layer of enamel is removed (if any) prior to fitting.
What are veneers?
A veneer is a thin tooth-coloured shell fixed to the front of a tooth to mask discolouration, an irregular shape, damage or small gaps.
They are usually fitted to the front upper and lower teeth and are made from ceramic, porcelain or a composite material. They can be used to enhance your smile and help to protect an affected tooth from further damage.
Veneers offer a minimally invasive way to transform a tooth as only a very thin layer of enamel is removed (if any) prior to fitting.
Looking after your veneers
After fitting, it is important to keep your veneer well-maintained with regular brushing and flossing. Your dentist and hygienist will show you how to keep on top of your dental hygiene and keep a close eye on the health of your teeth and gums.
Teeth straightening and whitening
With orthodontics, we can improve your smile without changing your natural teeth. We can move them into a straighter position. Many people remark on how much difference a straighter smile makes which is partly why adult orthodontics is more popular than ever. Orthodontic treatment is more cost-effective than having a full smile design with veneers, but the treatment time is longer.
The very best combination in cosmetic dentistry is finishing your orthodontic treatment with tooth whitening followed by composite bonding, crowns or veneers. This full smile makeover promises the very best result that your natural teeth can offer.
Bonding
For any light damage to your front teeth or contouring on your bite surfaces on the back teeth, we can use composite bonding to rebuild teeth. Composite is a special dental resin made from a combination of plastic and glass. It can perfectly mimic tooth enamel and we can colour-match it to your tooth colour so it looks just like your tooth.
Composite can be built directly on your tooth so there is no need to strip away a layer of enamel. Bonding requires a degree of skill to accurately build up the shape of a tooth from scratch and we have restorative dentistry experts who make it appear as if there was no damage in the first place
Why have composite bonding?
- Unlike other types of restorative and cosmetic treatments, there is no need to remove any of the tooth to make space for the restoration.
- The treatment is quick. There is no need to take impressions or have restorations built in the lab. Everything happens in our practice.
 
 













